クリニックBLOG
2010年6月16日 水曜日
高齢者のインプラント
今日も雨です
梅雨明けが待ち遠しいです。
昨日のオペは順調に終わりました。なんと87歳
とてもお元気です。本人はオペに対することは全然気にされて
いなかったのですが、何せ高齢者、こちらが相当の緊張感でした
普段少し血圧が高めとのことで術前に血圧を測ったら160近くあり、麻酔語もう一度測ったら160を下回っていたの
でオペを開始しました。ケースとしては上顎の無歯顎で2本インプラントを入れマグネットで仕上げます。
最小の切開で手際よく短時間で行いました。

ドア状に開け埋入後きれいに戻しました。
オペ後も本人はいたって元気
尊敬いたします
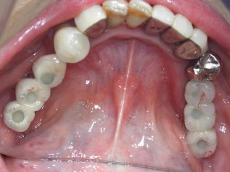
午後はインプラントのかぶせものです。長年なかった奥歯での食事がようやくできますね

それでは今日も1日頑張りましょう
茨城県 インプラント石岡市 わかまつ歯科
梅雨明けが待ち遠しいです。昨日のオペは順調に終わりました。なんと87歳
とてもお元気です。本人はオペに対することは全然気にされていなかったのですが、何せ高齢者、こちらが相当の緊張感でした

普段少し血圧が高めとのことで術前に血圧を測ったら160近くあり、麻酔語もう一度測ったら160を下回っていたの
でオペを開始しました。ケースとしては上顎の無歯顎で2本インプラントを入れマグネットで仕上げます。
最小の切開で手際よく短時間で行いました。
ドア状に開け埋入後きれいに戻しました。
オペ後も本人はいたって元気
尊敬いたします
午後はインプラントのかぶせものです。長年なかった奥歯での食事がようやくできますね

それでは今日も1日頑張りましょう

茨城県 インプラント石岡市 わかまつ歯科
投稿者 わかまつ歯科





























