クリニックBLOG
2010年11月22日 月曜日
インプラント日記
おはようございます。今日は雨です
金曜日のオペの写真をアップします。かなり骨幅細く約2ミリほどしかありませんでした。

現在よく行われているスプリットクレストにて骨幅を広げました。

poi のHAコーティングを使用しました。
その後GBRを行いました。
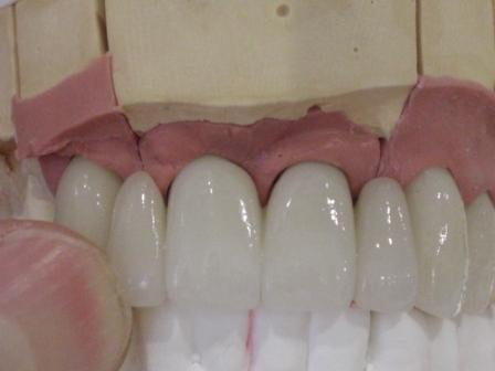
さて今日はインプラント補綴があります。さてここで問題です。インプラント部位歯どこでしょうか?

ちなみにインプラントは2本埋入されていて、後は天然歯です。
正解は・・・・・・

左右1番でした。歯医者の先生方は簡単だったでしょうか?
茨城県 インプラント 石岡市 わかまつ歯科

金曜日のオペの写真をアップします。かなり骨幅細く約2ミリほどしかありませんでした。
現在よく行われているスプリットクレストにて骨幅を広げました。
poi のHAコーティングを使用しました。
その後GBRを行いました。
さて今日はインプラント補綴があります。さてここで問題です。インプラント部位歯どこでしょうか?
ちなみにインプラントは2本埋入されていて、後は天然歯です。
正解は・・・・・・
左右1番でした。歯医者の先生方は簡単だったでしょうか?
茨城県 インプラント 石岡市 わかまつ歯科
投稿者 わかまつ歯科





























